
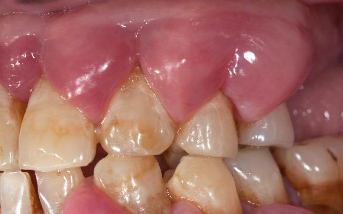
A periodontal abscess forms when bacteria from your mouth invade the space between your teeth and gums. Gum disease is the most common reason why this occurs, and it’s the number one risk factor for periodontal abscesses. You’re also more likely to develop a gum abscess if you have: Bruxism (chronic teeth grinding and clenching). Teeth damaged by injury or trauma. Broken or damaged restorations such as dental fillings, crowns or bridges.