MEDizzy
MEDizzy
Zunaira saleh
Zunaira salehover 1 year ago
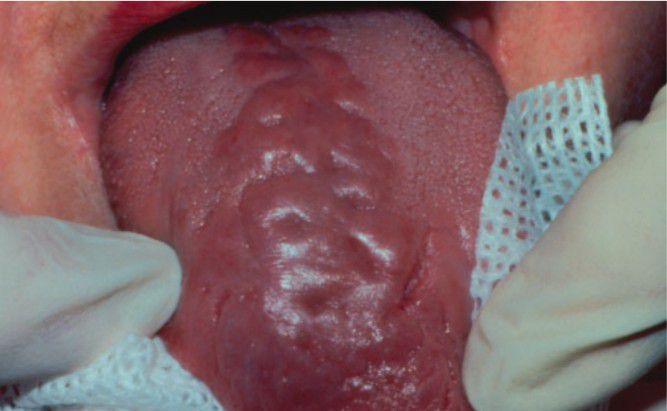
Chronic hyperplastic candidiasis

Chronic hyperplastic candidiasis

Chronic hyperplastic candidiasis occurs on the dorsum of the tongue as a mammilated form of median rhomboid glossitis.

0
Other commentsSign in to post comments. You don't have an account? Sign up now!

Recent MCQs















Show more MCQs

Recent flashcard sets















Show more flashcards