Feed
Library
Learning
Discuss
Leaderboard
Journal
Sign in
Login
Sign up
Sign in
Feed
Library
Learning
Discuss
Leaderboard
Journal
Sheeza Basharat
almost 2 years ago
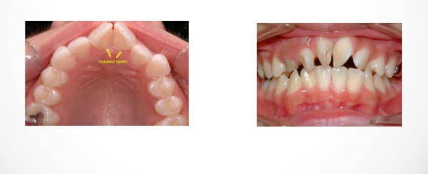
Diagnose It
Diagnose the case with the given clinical presentation.
Dentistry
Teeth
Diagnose
0
0
0
Other comments
Sign in
to post comments. You don't have an account?
Sign up now!
Related posts
Supernumerary teeth
Non vital incisor teeth
Space maintainer
Mandibular Tori
Amalgam vs composite filling
Complications of xerostomia
Dental Bridges
https://www.facebook.com/HumeHealthBodyPodOfficial/
https://www.facebook.com/BiomaProbioticsPage/
Ozalyn
Recent MCQs
Show more MCQs
Recent flashcard sets
Show more flashcards
Feed
Learn
Add
Search
Discuss