MEDizzy
MEDizzy
Zunaira saleh
Zunaira salehalmost 2 years ago
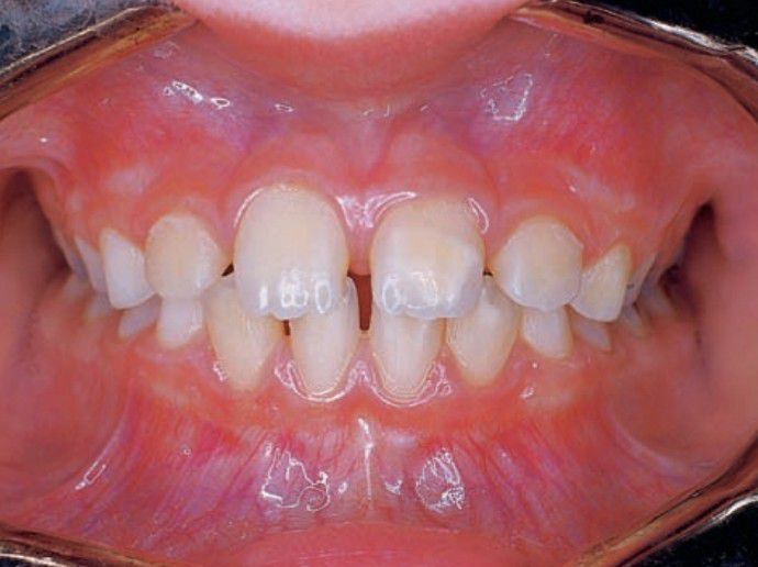
Turner's tooth

Turner's tooth

Qualitatively defective enamel, in which normal amounts of enamel are produced but are hypomineralized, is known as enamel hypocalcification or Turners tooth

0
Other commentsSign in to post comments. You don't have an account? Sign up now!

Recent MCQs















Show more MCQs

Recent flashcard sets















Show more flashcards