MEDizzy
MEDizzy
Zunaira saleh
Zunaira salehover 1 year ago
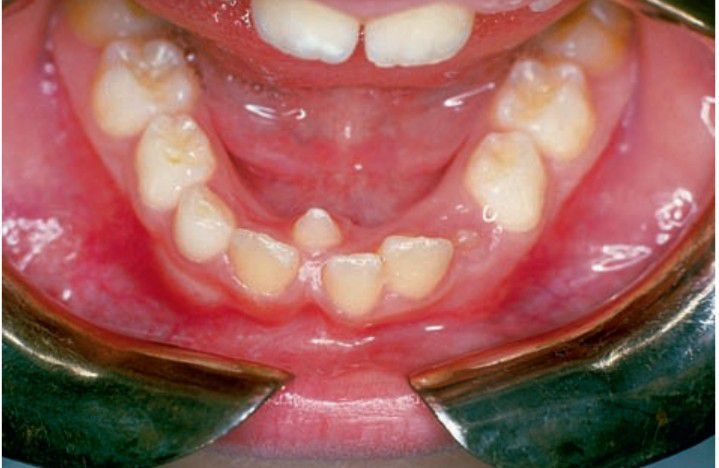
Mesiodens

Mesiodens

Extra, or supernumerary, teeth in the dentition most probably result from continued proliferation of the permanent or primary dental lamina to form a third tooth germ

0
Other commentsSign in to post comments. You don't have an account? Sign up now!

Recent MCQs















Show more MCQs

Recent flashcard sets















Show more flashcards