Feed
Library
Learning
Discuss
Leaderboard
Journal
Sign in
Login
Sign up
Sign in
Feed
Library
Learning
Discuss
Leaderboard
Journal
Zunaira saleh
over 1 year ago
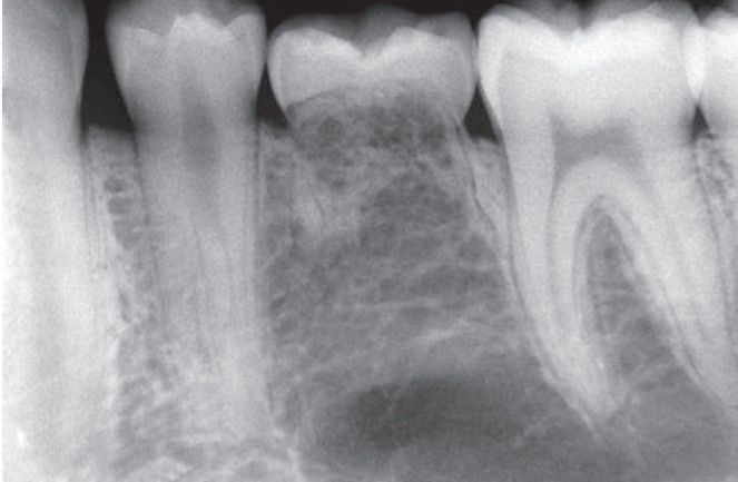
Anodontia
Anodontia of a permanent second premolar with ankylosis of an erupted primary molar.
Oralpathology
Tooth
Anodontia
0
0
0
Other comments
Sign in
to post comments. You don't have an account?
Sign up now!
Related posts
Maxillary 3rd molar
Tooth and dental implant
History of present complaint
Deceptive normal variant
Deceptive normal variant
Turner tooth
Shell tooth.
Overlooked tooth trouble
Mixed pattern tooth loss.
The effects of tooth brushing in the same patient.
Recent MCQs
Show more MCQs
Recent flashcard sets
Show more flashcards
Feed
Learn
Add
Search
Discuss