Feed
Library
Learning
Discuss
Leaderboard
Journal
Sign in
Login
Sign up
Sign in
Feed
Library
Learning
Discuss
Leaderboard
Journal
Zunaira saleh
over 1 year ago
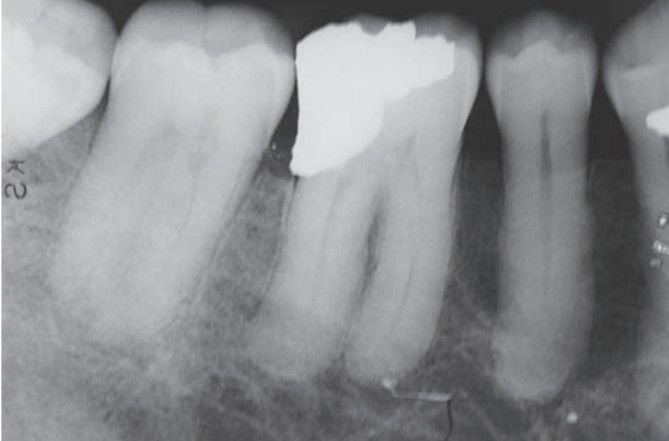
Pagets disease
Pagets disease associated with hypercemetosis of mandibular 1st molar.
Oralpathology
Pagets
Hypercementosis
0
0
0
Other comments
Sign in
to post comments. You don't have an account?
Sign up now!
Related posts
Cementoma
History of present complaint
Deceptive normal variant
Deceptive normal variant
Hypercementosis
Hypercementosis in Paget’s disease.
Pagets disease
Paget’s disease.
Paget’s disease of bone
Pagets disease
Recent MCQs
Show more MCQs
Recent flashcard sets
Show more flashcards
Feed
Learn
Add
Search
Discuss