Feed
Library
Learning
Discuss
Leaderboard
Journal
Sign in
Login
Sign up
Sign in
Feed
Library
Learning
Discuss
Leaderboard
Journal
Zunaira saleh
5 months ago
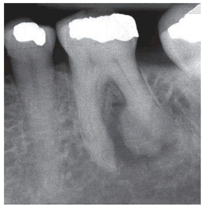
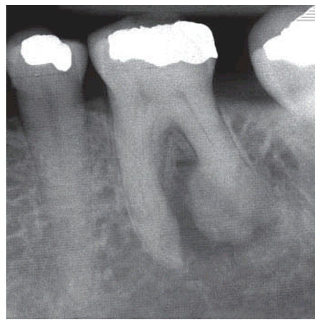
Hypercementosis
Hypercementosis as a result of apical infl ammation
Pathology
Oral
Hypercementosis
0
0
0
Other comments
Sign in
to post comments. You don't have an account?
Sign up now!
Related posts
Hyperparathyroidism
Hyperparathyroidism
Pagets disease
Paget’s disease.
Oral carcinoma
Racial pigmentation
Localised oral purpura
Haemophilia
Oral papilloma
Periapical Pathologies
Recent MCQs
Show more MCQs
Recent flashcard sets
Show more flashcards
Feed
Learn
Add
Search
Discuss