
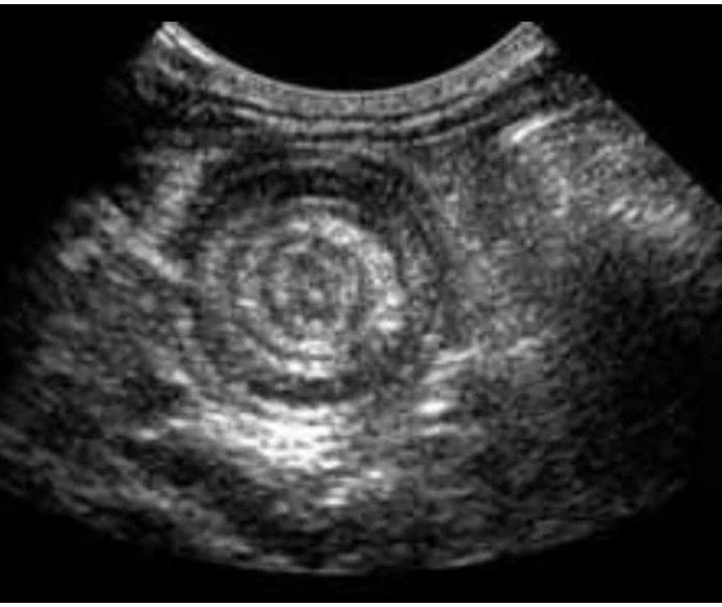
Patient presents with red currant jelly, stool. ultrasound of the abdomen showed this. Telescoping of a segment of small intestine into large intestine. Intussusception- ‘cinnamon bun sign’ or can say ‘sandwich or pseudo-kidney sign’. By: https://www.instagram.com/p/C4-zEILN-4J/?utm_source=ig_web_copy_link