Feed
Library
Learning
Discuss
Leaderboard
Journal
Sign in
Login
Sign up
Sign in
Feed
Library
Learning
Discuss
Leaderboard
Journal
Zunaira saleh
almost 2 years ago
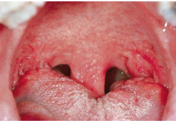
Lymphoid hyperplasia
Lymphoid hyperplasia involving uvula and tonsils.
Oralpathology
Hyperplasia
Lymphoid
0
0
1
Other comments
Sign in
to post comments. You don't have an account?
Sign up now!
Related posts
irreversible pulpitis
Cementoma
Fibrous hyperplasia
Fibrous hyperplasia
History of present complaint
Deceptive normal variant
Deceptive normal variant
Drug induced gingival hyperplasia
Focal epithelial hyperplasia
Inflammation hyperplasia
Recent MCQs
Show more MCQs
Recent flashcard sets
Show more flashcards
Feed
Learn
Add
Search
Discuss