MEDizzy
MEDizzy
Farid_khateri
Farid_khateriabout 7 years ago
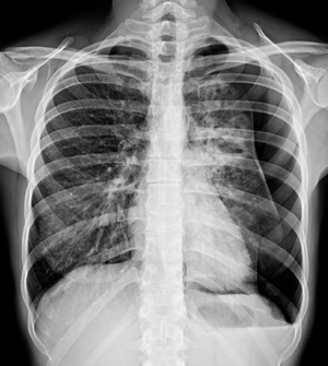
What's your diagnosis??!!

What's your diagnosis??!!

1.pleural effusion 2.pneumothorax 3.pulmonary edema 4. sarcoidosis 5.emphysema

67
Top rated comment
about 7 years ago

2

Other commentsSign in to post comments. You don't have an account? Sign up now!
about 7 years ago

Neumotorax

about 7 years ago

Pneumothorax

about 7 years ago

5

about 7 years ago

Pneumotorax

about 7 years ago

Pneumothorax

about 7 years ago

Pneumothorax

about 7 years ago

5

about 7 years ago

2

about 7 years ago

2. Pneumothorax

about 7 years ago

2...air is black on radiography whilst fluid is white.

about 7 years ago

Pneumothorax

16
1236

Recent MCQs















Show more MCQs

Recent flashcard sets















Show more flashcards