MEDizzy
MEDizzy
Zunaira saleh
Zunaira salehalmost 2 years ago
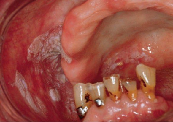
Proliferative verrucous leukoplakia

Proliferative verrucous leukoplakia

Females more often affected than males Recurrent/persistent; multiple sites typical Progression from simple keratosis to well-differentiated verruciform lesions High risk of malignant transformation to verrucous carcinoma or squamous cell carcinoma.

0
Other commentsSign in to post comments. You don't have an account? Sign up now!

Recent MCQs















Show more MCQs

Recent flashcard sets















Show more flashcards