Feed
Library
Learning
Discuss
Leaderboard
Journal
Sign in
Login
Sign up
Sign in
Feed
Library
Learning
Discuss
Leaderboard
Journal
Iqra
almost 2 years ago
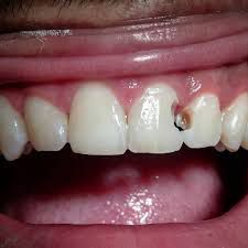
Class 3 caries
Class 3 carious lesion occurs in proximal surface of anteriors without involving incisal edges
Dentistry
Caries
Gvblack
0
0
0
Other comments
Sign in
to post comments. You don't have an account?
Sign up now!
Related posts
Chalky enamel
Progression of dental caries
Progression of dental caries
Acute caries and pulpitis.
Advanced periodontitis with recession.
Space maintainer
Mandibular Tori
Amalgam vs composite filling
Complications of xerostomia
Dental Bridges
Recent MCQs
Show more MCQs
Recent flashcard sets
Show more flashcards
Feed
Learn
Add
Search
Discuss