MEDizzy
MEDizzy
Iqra
Iqraover 1 year ago
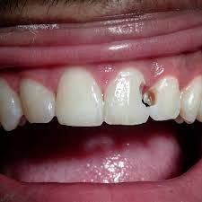
Class 3 caries

Class 3 caries

Class III procedure is performed when caries extends past enamel into dentin. Therefore, the mesial-distal width of the preparation will be at least 0.2 mm into dentin.

0
Other commentsSign in to post comments. You don't have an account? Sign up now!

Recent MCQs















Show more MCQs

Recent flashcard sets















Show more flashcards