
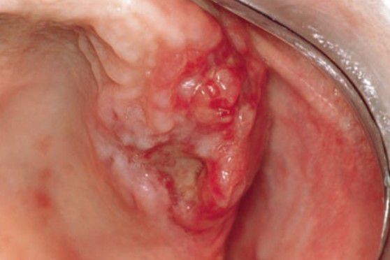
Oral manifestations that usually follow implantation of M. tuberculosis from infected sputum may appear on any mucosal surface. The tongue and the palate are favored locations.The typical lesion is an indurated,chronic, nonhealing ulcer that is usually painful. Bony involvement of the maxilla and mandible may produce tuberculous osteomyelitis