MEDizzy
MEDizzy
Zunaira saleh
Zunaira saleh8 months ago
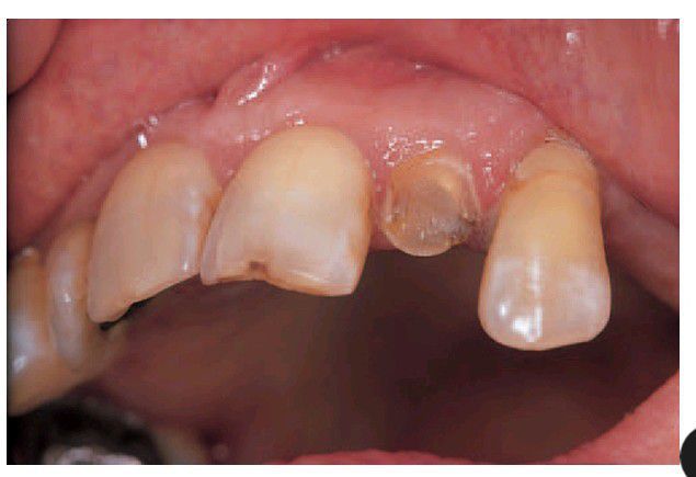
Hypersensitivity to impression material

Hypersensitivity to impression material

Hypersensitivity to impression material. , showing the site of the impression photographed at the same time. No allergic response is evident intraorally.

0
Other commentsSign in to post comments. You don't have an account? Sign up now!

Recent MCQs















Show more MCQs

Recent flashcard sets















Show more flashcards