MEDizzy
MEDizzy
Zunaira saleh
Zunaira salehalmost 2 years ago
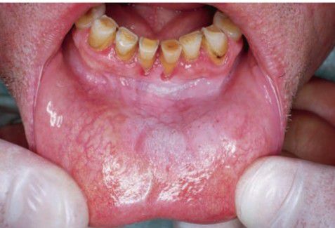
Snuff dipper's pouch

Snuff dipper's pouch

Asymptomatic white folds surrounding area where tobacco is held; usually found in labial and buccal vestibules.

0
Other commentsSign in to post comments. You don't have an account? Sign up now!

Recent MCQs















Show more MCQs

Recent flashcard sets















Show more flashcards