
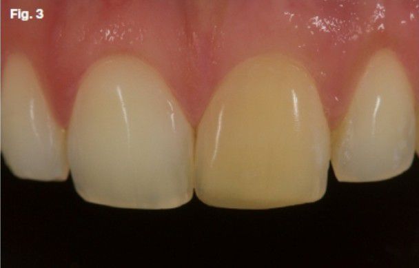
Calcific metamorphosis (CM) is seen commonly in the dental pulp after traumatic tooth injuries and is recognized clinically as early as 3 months after injury. Calcific metamorphosis is characterized by deposition of hard tissue within the root canal space and yellow discoloration of the clinical crown.