MEDizzy
MEDizzy
Zunaira saleh
Zunaira salehalmost 2 years ago
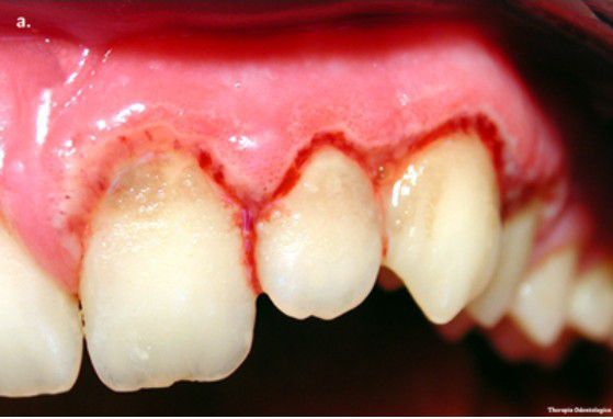
Acute necrotizing ulcerative gingivitis

Acute necrotizing ulcerative gingivitis

Acute necrotizing ulcerative gingivitis (ANUG) is a rare infectious disease of the gum tissue, affecting <1% of the population. ANUG presents as an acute, painful, and destructive ulceration and inflammation of the interdental gum tissue

0
Other commentsSign in to post comments. You don't have an account? Sign up now!

Recent MCQs















Show more MCQs

Recent flashcard sets















Show more flashcards