MEDizzy
MEDizzy
Iqra
Iqraalmost 2 years ago
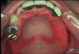
Causes of denture stomatitis

Causes of denture stomatitis

Denture stomatitis (or oral stomatitis) is usually caused by candida — a type of fungus (yeast). It's normal to have small amounts of candida in your mouth.

0
Other commentsSign in to post comments. You don't have an account? Sign up now!

Recent MCQs















Show more MCQs

Recent flashcard sets















Show more flashcards