MEDizzy
MEDizzy
Zunaira saleh
Zunaira salehalmost 2 years ago
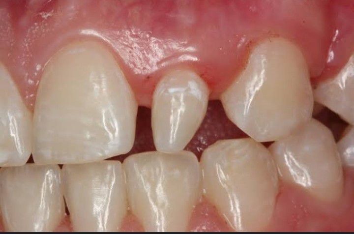
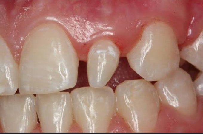
Peg lateral incisor

Peg lateral incisor

Peg lateral incisors describes a condition where the second tooth on either side of the upper front teeth does not develop correctly and is small, often pointed, and looks like a cone.

0
Other commentsSign in to post comments. You don't have an account? Sign up now!

Recent MCQs















Show more MCQs

Recent flashcard sets















Show more flashcards