MEDizzy
MEDizzy
Zunaira saleh
Zunaira salehalmost 2 years ago
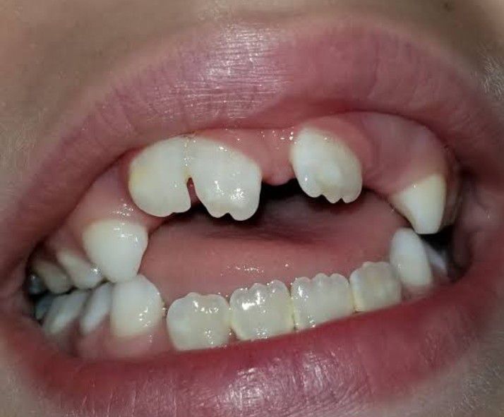
Gemination

Gemination

Tooth gemination is a dental phenomenon that appears to be two teeth developed from one. There is one main crown with a cleft in it that, within the incisal third of the crown, looks like two teeth, though it is not two teeth

0
Other commentsSign in to post comments. You don't have an account? Sign up now!

Recent MCQs















Show more MCQs

Recent flashcard sets















Show more flashcards