MEDizzy
MEDizzy
Zunaira saleh
Zunaira salehalmost 2 years ago
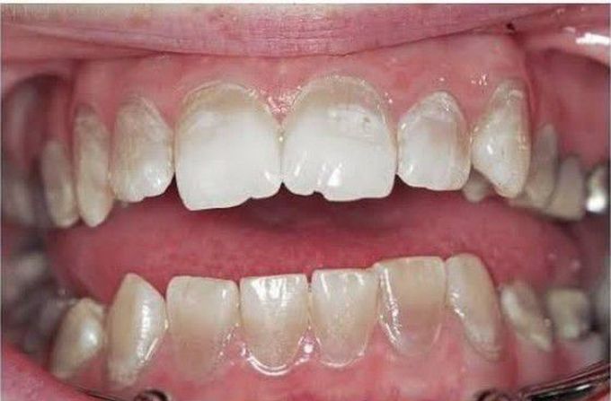
Dentinogenesis imperfecta

Dentinogenesis imperfecta

Dentinogenesis imperfecta is a condition characterized by teeth that are translucent and discolored (most often blue-grey or yellow-brown in color).

0
Other commentsSign in to post comments. You don't have an account? Sign up now!

Recent MCQs















Show more MCQs

Recent flashcard sets















Show more flashcards