MEDizzy
MEDizzy
Zunaira saleh
Zunaira salehalmost 2 years ago
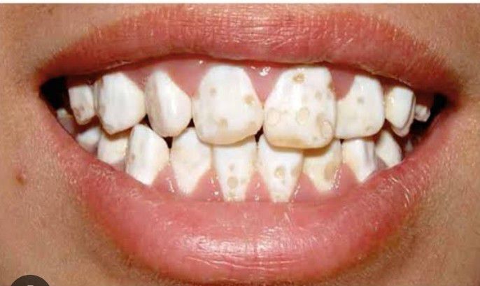
Amelogenesis imperfecta

Amelogenesis imperfecta

Amelogenesis imperfecta (AI) refers to a group of rare, inherited disorders characterized by abnormal enamel formation

0
Other commentsSign in to post comments. You don't have an account? Sign up now!

Recent MCQs















Show more MCQs

Recent flashcard sets















Show more flashcards