
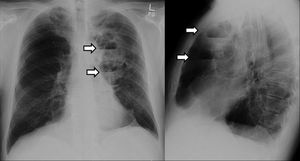
Posterior-anterior and lateral view chest x-ray shows an oval anterior and medial opacity, with 2 well defined air-fluid levels in the left lung which is seen at the arrows i have seen this case in a journal but i cant remember the name.. in this case Air-fluid levels within emphysematous lung bullae are a relatively uncommon occurrence in patients with preexisting bullous disease and it is not commonly reported... .