
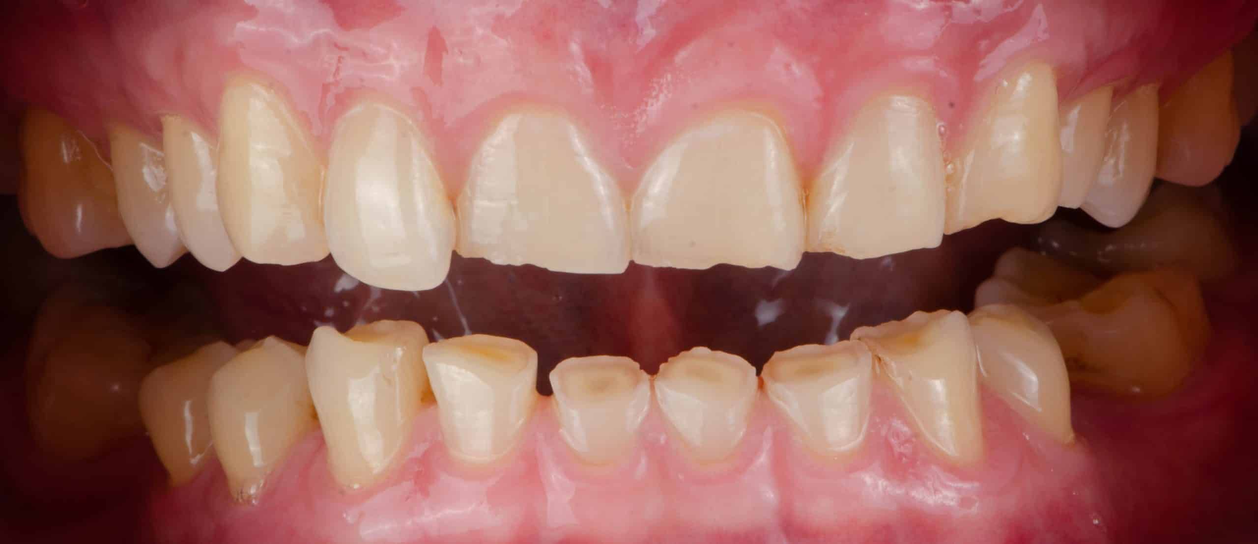
You probably grind your teeth or clench them once in a while. Occasionally grinding your teeth most likely won’t cause any harm. But if you regularly grind your teeth, you may have a condition called bruxism. It can hurt your: Jaw muscles. Teeth. Temporomandibular joints (TMJs), which connect your jawbone to your skull and allow you to open and close your mouth.