
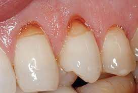
A dental abrasion can be caused by many harmful factors and habits, including: Brushing your teeth with too much force. Regularly consuming food and beverages with a high acid content. Piercings in the mouth that hit against teeth. Utilizing a toothbrush with hard bristles. Clasps on your dentures that are ill-fitting.