
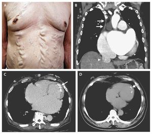
What is the diagnosis? Chronic aortic dissection Cirrhosis Hypoplastic right heart syndrome Superior vena caval obstruction Transposition of the great vessels
physical examination revealed varices of the chest and abdominal wall (image a)which may be caused by collateral circulation associated with obstruction of the superior vena cava (SVC). Chest (ct) showed SVC obstruction and dilatation of the inferior vena cava (image b) Endocardial calcification is obviously seen on image c so it is a svc obstruction...
The observed varices of the abdominal region is called “Caput Medusae”.
There are varices of the chest and abdominal wall caused by collateral circulation associated with obstruction of the superior vena cava. Paraumbilical and abdominal-wall varices can complicate cirrhosis but do not typically extend to the chest wall.