MEDizzy
MEDizzy
Kemal Kličić
Kemal Kličićabout 4 years ago
Femur

Femur

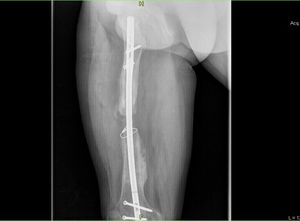
The fracture of the femur in the traffic accident , 6 operations, an infection, an external fixator, and now intermediate wedge..

575
Top rated comment
about 4 years ago

Need bone graft

Other commentsSign in to post comments. You don't have an account? Sign up now!

Recent MCQs















Show more MCQs

Recent flashcard sets















Show more flashcards