
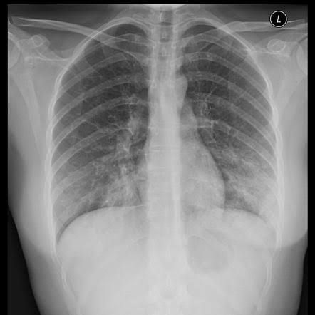
Atypical Pneumonia is a type of community acquired pneumonia which is caused by an organism that are not stained on gram stain and not culturable on standard blood agar. Most common organisms are Legionella pneumophilia, mycoplasma, Chlamydia and viral. Patient with the gradual onset of cough which is non-productive and associated with the extrapulmonary symptoms such as headache, mylagia and GI symptoms. On Chest x-ray it presents as bilateral interstitial infiltrates.