Feed
Library
Learning
Discuss
Leaderboard
Journal
Sign in
Login
Sign up
Sign in
Feed
Library
Learning
Discuss
Leaderboard
Journal
Farid_khateri
about 7 years ago
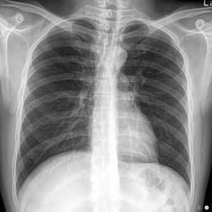
What parts do you see in this CXR?
Diagnosis
Lung
Chest
Chestxray
Cxr
show 1 more
15
3
4
Other comments
Sign in
to post comments. You don't have an account?
Sign up now!
J
Jawad
about 7 years ago
Is it emphysema
0
Reply
Dr ps Singh
about 7 years ago
Its emphysema
0
Reply
AZM Alrashidi
about 7 years ago
Lymphoma at lung hilum?
0
Reply
Related posts
Patient history
Effects of sugar on teeth
Principles of investigation and diagnosis
Immunostaining diagnosis
Immunostaining diagnosis
Lactose Intolerance Diagnosis
VRF Diagnosis
Supraventricular tachycardia- Diagnosis
Atrial Septal Defect- Diagnosis
Collapse of the left upper lobe of lung
Recent MCQs
Show more MCQs
Recent flashcard sets
Show more flashcards
Feed
Learn
Add
Search
Discuss