
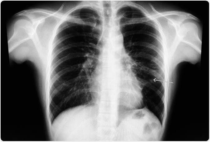
Symptoms of acute mediastinitis include: Abrupt, severe chest pain. Chills. Drainage from your wound (if you had a median sternotomy). Fever. Shortness of breath. Chronic mediastinitis may cause no symptoms. However, those with fibrosing mediastinitis may experience: Chest pain. Cough, which may produce blood. Shortness of breath. Additional symptoms associated with superior vena cava syndrome