
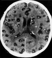
Neurocysticercosis is a preventable parasitic infection caused by larval cysts (enclosed sacs containing the immature stage of a parasite) of the pork tapeworm (Taenia solium). The larval cysts can infect various parts of the body causing a condition known as cysticercosis.