
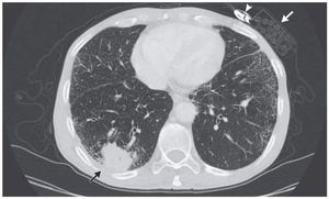
A person who sent a CT scan to the insurance company for which he is insured for his life .. Which shows the presence of lung cancer "marked by a black arrow" .. Because they pay him the expenses of treatment - The insurance company sent him the same picture and pointed to him on a pack of cigarettes and soldering white arrow ..