Feed
Library
Learning
Discuss
Leaderboard
Journal
Sign in
Login
Sign up
Sign in
Feed
Library
Learning
Discuss
Leaderboard
Journal
Dr. Fatemeh Kourkinejad
about 7 years ago
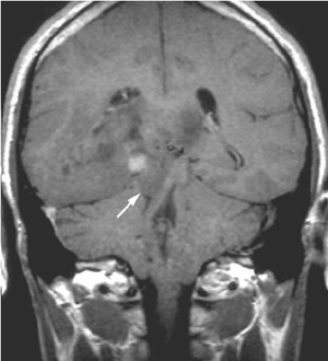
Diagnosis?
Brain
Diagnosis
Mri
Humanbrain
Neuroimaging
5
2
0
Other comments
Sign in
to post comments. You don't have an account?
Sign up now!
Dr. Fatemeh Kourkinejad
about 7 years ago
Any idea?
0
Reply
Dr. Fatemeh Kourkinejad
about 7 years ago
Uncal herniation!
0
Reply
Related posts
Patient history
Effects of sugar on teeth
Principles of investigation and diagnosis
Immunostaining diagnosis
Immunostaining diagnosis
Lactose Intolerance Diagnosis
Brain Blood Supply
VRF Diagnosis
Supraventricular tachycardia- Diagnosis
Atrial Septal Defect- Diagnosis
Recent MCQs
Show more MCQs
Recent flashcard sets
Show more flashcards
Feed
Learn
Add
Search
Discuss