
An 86-year-old woman with hypertension presents with epigastric pain and does not report any respiratory symptoms. Her chest radiograph demonstrates these findings. What is the diagnosis? Oleothorax Hemothorax Calcified empyema Non-small-cell lung cancer Asbestosis
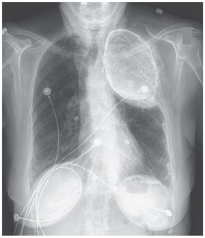
An 86-year-old woman with hypertension who had been treated for pulmonary tuberculosis in the 1950s presented with burning chest and epigastric pain. She had no respiratory symptoms. After acute coronary syndrome was ruled out, she was treated for gastroesophageal reflux, which relieved her symptoms. A chest radiograph showed a dense opacity in the upper area of the left lung. The differential diagnosis for this abnormality includes an old calcified empyema, hemothorax, and oleothorax. Given her history of treatment for tuberculosis, the most likely diagnosis was oleothorax — a treatment for pulmonary tuberculosis, abandoned long ago, that involved the instillation of oil into the pleural space to collapse the involved lung. Typically, after treatment, which could last up to 2 years, the oil was aspirated. However, asymptomatic patients were sometimes lost to follow-up and the oil was left in place, as occurred in this patient. Long-term complications, including superimposed infection and airway obstruction, have been reported. This patient had no complications or symptoms related to oleothorax.