MEDizzy
MEDizzy
Iqra
Iqraover 2 years ago
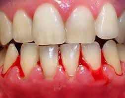
Bleeding gums

Bleeding gums

Bleeding gums are the No. 1 symptom of gingivitis and other forms of gum disease. But bleeding from your gums can also point to other health issues, including hormone fluctuations, vitamin deficiencies, blood-clotting disorders and even stress.

0
Other commentsSign in to post comments. You don't have an account? Sign up now!

Recent MCQs















Show more MCQs

Recent flashcard sets















Show more flashcards