
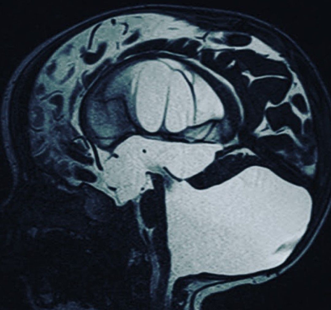
Dandy-Walker Syndrome (DWS) is a congenital (happening before birth) condition where the cerebellum does not develop normally. The cerebellum is an area at the back of the brain that controls movement and balance. With DWS, parts of the cerebellum may never develop or may be very small.