MEDizzy
MEDizzy
Iqra
Iqraover 2 years ago
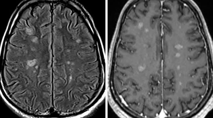
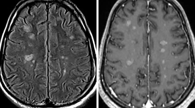
Treatment of neurosarcoidosis

Treatment of neurosarcoidosis

There is no cure for neurosarcoidosis. Treatment of the condition occurs when patients are experiencing severe or progressive symptoms. Corticosteroids may be given to shorten and lessen the severity of the symptoms by reducing the inflammation.

0
Other commentsSign in to post comments. You don't have an account? Sign up now!

Recent MCQs















Show more MCQs

Recent flashcard sets















Show more flashcards