MEDizzy
MEDizzy
Dylan Carrington
Dylan Carringtonabout 7 years ago
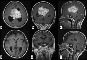
Can you identify this abnormally and treatment?

Can you identify this abnormally and treatment?

31
Top rated comment
about 7 years ago

Chorioidpapilloma, hydrocephaly. Removing of cancer, relising a flow of CSF

Other commentsSign in to post comments. You don't have an account? Sign up now!
about 7 years ago

Epandimoma and hydrocephaly?

about 7 years ago

Epandimoma and hydrocephaly??

about 7 years ago

Correct !

about 7 years ago

??

about 7 years ago

Hydrocephaly

about 7 years ago

Hydrocephaly

about 7 years ago

prob. Ependymoma since the affected part lies on the ventricles. And by principle, ventricles are lined with tissues composed of ependymal cells

Recent MCQs















Show more MCQs

Recent flashcard sets















Show more flashcards