Feed
Library
Learning
Discuss
Leaderboard
Journal
Sign in
Login
Sign up
Sign in
Feed
Library
Learning
Discuss
Leaderboard
Journal
Sheeza Basharat
over 2 years ago
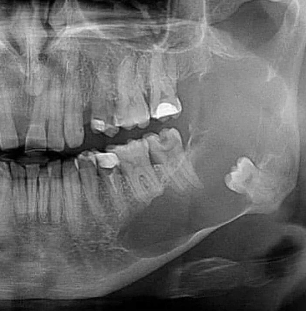
Cyst or Necrosis
What do you think it is?
Dentistry
Cyst
Necrosis
Opg
0
0
0
Other comments
Sign in
to post comments. You don't have an account?
Sign up now!
Related posts
Dentigerous cyst.
Keratinising odontogenic cyst.
Gingival cyst of adult
Nasopalatine cyst.
Sublingual dermoid cyst
Space maintainer
Mandibular Tori
Amalgam vs composite filling
Complications of xerostomia
Dental Bridges
Recent MCQs
Show more MCQs
Recent flashcard sets
Show more flashcards
Feed
Learn
Add
Search
Discuss