Feed
Library
Learning
Discuss
Leaderboard
Journal
Sign in
Login
Sign up
Sign in
Feed
Library
Learning
Discuss
Leaderboard
Journal
Med_students0
over 7 years ago
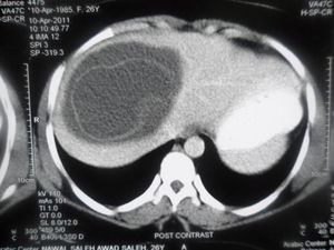
Hydatid Liver cyst
Medicine
General
Surgery
Liver
31
1
10
Top rated comment
Faiza
over 7 years ago
Stade 2 of Garbi classification.
0
Reply
Other comments
Sign in
to post comments. You don't have an account?
Sign up now!
Related posts
Key Aspects of Cord Prolapse
Cord Prolapse- Types
The Nucleus Gigantocellularis
Furosemide Dosing Protocol
Peripartum Cardiomyopathy
Bitechchain Review - Is Bitechchain Scam Or legit?
Women’s Reproductive Health & Daily Wellness
Gelatine Sculpt | Official Website
Prestigio Marketdex Review - Can Beginners Profit With Prestigio Marketdex? Expert Insights
BurnSlim Official | Support Your Weight Management Journey
Recent MCQs
Show more MCQs
Recent flashcard sets
Show more flashcards
Feed
Learn
Add
Search
Discuss