
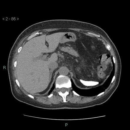
Auto-splenectomy is a well-known complication of sickle cell disease; which is caused by micro vascular occlusion by deformed red blood cells which leads to ischaemia and infarction. Repeated infarctions lead to necrosis and gradual resorption of spleen.