Feed
Library
Learning
Discuss
Leaderboard
Journal
Sign in
Login
Sign up
Sign in
Feed
Library
Learning
Discuss
Leaderboard
Journal
Sheeza Basharat
almost 3 years ago
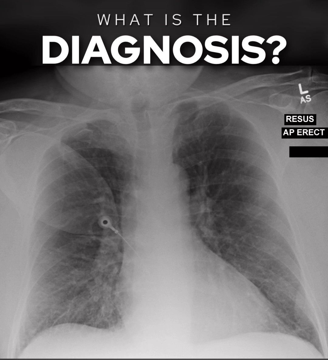
Diagnose it!
What's wrong with this radiograph?
Diagnosis
Radiology
Chestxray
0
0
0
Other comments
Sign in
to post comments. You don't have an account?
Sign up now!
Related posts
Effects of sugar on teeth
Principles of investigation and diagnosis
Immunostaining diagnosis
Immunostaining diagnosis
Lactose Intolerance Diagnosis
VRF Diagnosis
Supraventricular tachycardia- Diagnosis
Atrial Septal Defect- Diagnosis
Acute Abdomen Differential Diagnosis
https://www.facebook.com/StableGripSafetyBarOfficial/
Recent MCQs
Show more MCQs
Recent flashcard sets
Show more flashcards
Feed
Learn
Add
Search
Discuss