Feed
Library
Learning
Discuss
Leaderboard
Journal
Sign in
Login
Sign up
Sign in
Feed
Library
Learning
Discuss
Leaderboard
Journal
DP
Digvijay Patil
about 7 years ago
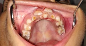
Supernumerary tooth
Dentistry
Mesiodens
Paedodontist
539
0
0
Other comments
Sign in
to post comments. You don't have an account?
Sign up now!
Related posts
Implant Depth- Posterior Teeth
Identify the Canine Angle Class
Furcation Involvement Classification
Angular Defects
Probing and Charting
Space maintainer
Mandibular Tori
Amalgam vs composite filling
Complications of xerostomia
Dental Bridges
Recent MCQs
Show more MCQs
Recent flashcard sets
Show more flashcards
Feed
Learn
Add
Search
Discuss