Feed
Library
Learning
Discuss
Leaderboard
Journal
Sign in
Login
Sign up
Sign in
Feed
Library
Learning
Discuss
Leaderboard
Journal
Sheeza Basharat
about 3 years ago
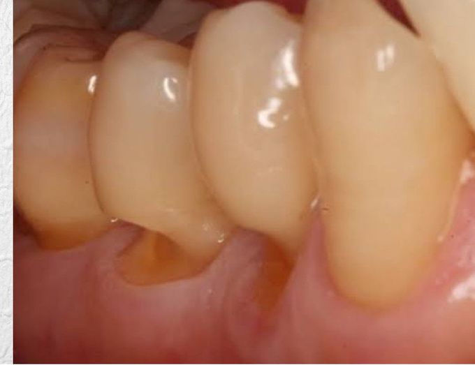
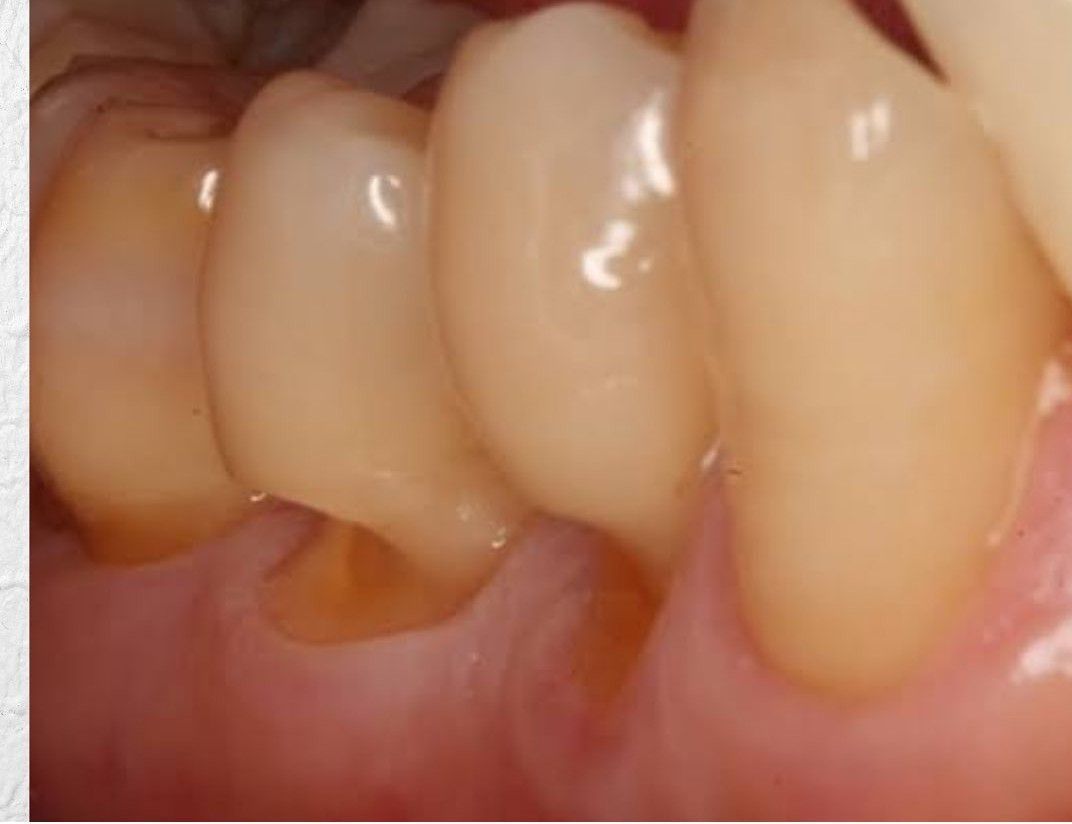
Abfraction
Do you know what abfraction is?
General
Dentistry
Abfraction
0
0
1
Other comments
Sign in
to post comments. You don't have an account?
Sign up now!
Related posts
Key Aspects of Cord Prolapse
Cord Prolapse- Types
The Nucleus Gigantocellularis
Furosemide Dosing Protocol
Peripartum Cardiomyopathy
Bitechchain Review - Is Bitechchain Scam Or legit?
https://www.facebook.com/HumeHealthBodyPodOfficial/
https://www.facebook.com/BiomaProbioticsPage/
Prestigio Marketdex Review - Can Beginners Profit With Prestigio Marketdex? Expert Insights
Ozalyn
Recent MCQs
Show more MCQs
Recent flashcard sets
Show more flashcards
Feed
Learn
Add
Search
Discuss