MEDizzy
MEDizzy
Iqra
Iqraalmost 3 years ago
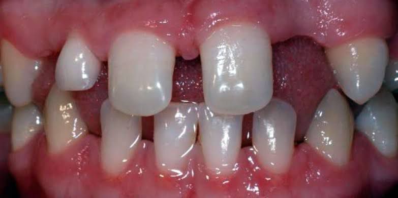
What causes hypodontia?

What causes hypodontia?

People with hypodontia usually have an abnormality affecting the dental lamina — a band of tissue under your gums where your teeth form. In most cases, family history is the cause. But other factors can result in hypodontia, too.

0
Other commentsSign in to post comments. You don't have an account? Sign up now!

Recent MCQs















Show more MCQs

Recent flashcard sets















Show more flashcards