
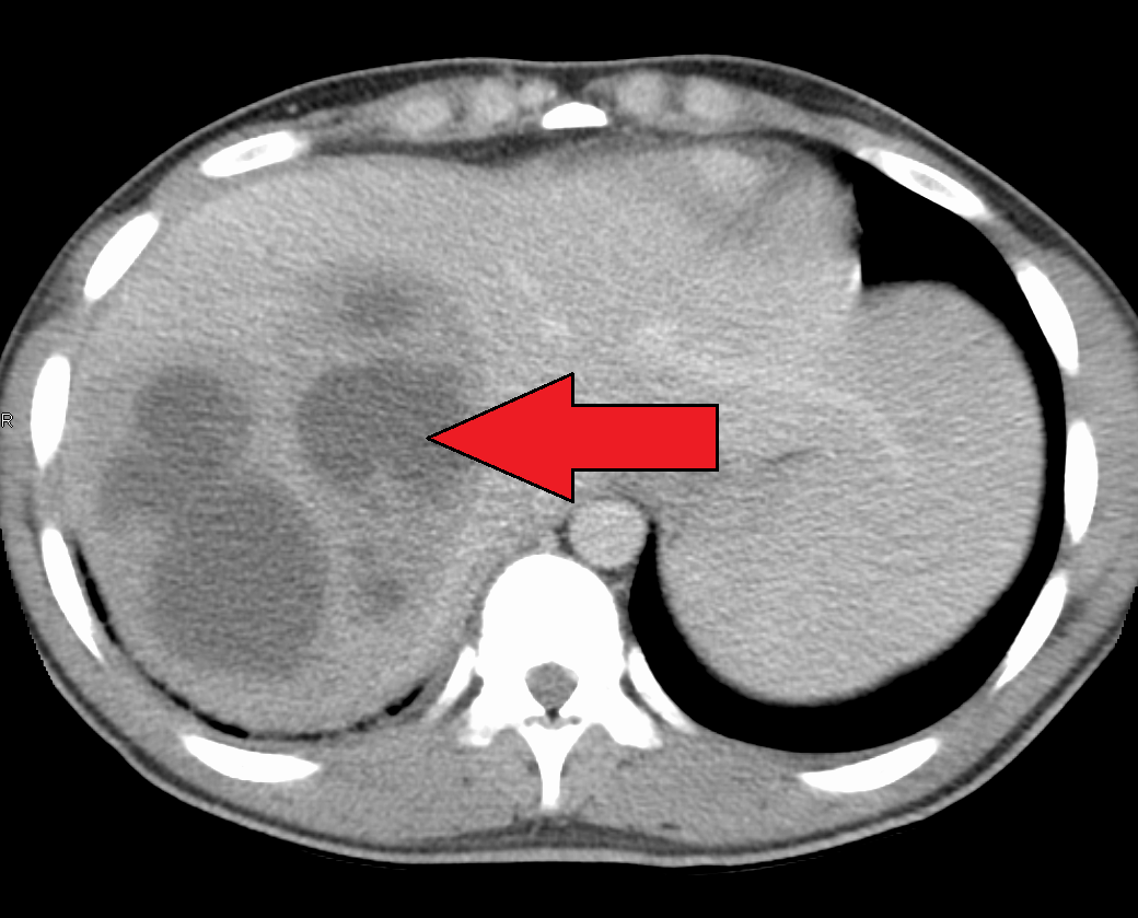
Symptoms of liver abscess may include: Chest pain (lower right) Pain in the right upper abdomen (more common) or throughout the abdomen (less common) Clay-colored stools. Dark urine. Fever, chills, night sweats. Loss of appetite. Nausea, vomiting. Unintentional weight loss.