
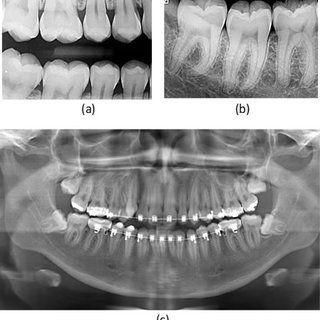
Bitewing radiographs provide vital information to aid in the diagnosis of the most common dental diseases; specifically tooth decay and periodontal bone loss or gum disease. Additional important findings may be detected on bitewings, including the condition of fillings and the presence of calculus or tartar.