
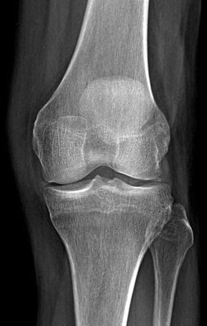
65 yr old male presents to his family Dr with left knee pain and morning stiffness for the past year that has progressively worsened. A radiograph of the left knee is ordered for the further evaluation. *What is the Diagnosis?*
Could be Osteoarthritis with the non uniform joint space narrowing and eburnation (bony sclerosis) margin of the bone is whiter there could be spiking of tibial condyle. Diagnosed by joint pain, morning stiffness, absence of constitutional symptoms and on examination there will be increased bony prominence at the joint margins anf atrophy of surrounding muscle, there could be grating sensation with tenderness over the joint line and joint movement limitation
It may be a osteo arthritis x ray denotes joint narrowing spaces with osteophytic changes pls clarify once signs,symptoms and examination which related to osteo arthritis